
A list of the deadliest viruses in history.
Humans have been battling viruses since before our species had even evolved into its modern form. For some viral diseases, vaccines and antiviral drugs have allowed us to keep infections from spreading widely, and have helped sick people recover. For one disease — smallpox — we've been able to eradicate it, ridding the world of new cases.
But we're a long way from winning the fight against viruses. In recent decades, several viruses have jumped from animals to humans and triggered sizable outbreaks, claiming thousands of lives. The viral strain that drove the 2014-2016 Ebola outbreak in West Africa kills up to 90% of the people it infects, making it the most lethal member of the Ebola family.
But there are other viruses out there that are equally deadly, and some that are even deadlier. Some viruses, including the novel coronavirus currently driving outbreaks around the globe, have lower fatality rates, but still pose a serious threat to public health as we don't yet have the means to combat them.
Here are the 12 worst killers, based on the likelihood that a person will die if they are infected with one of them, the sheer numbers of people they have killed, and whether they represent a growing threat.
Marburg virus

Scientists identified Marburg virus in 1967, when small outbreaks occurred among lab workers in Germany who were exposed to infected monkeys imported from Uganda. Marburg virus is similar to Ebola in that both can cause hemorrhagic fever, meaning that infected people develop high fevers and bleeding throughout the body that can lead to shock, organ failure and death.
The mortality rate in the first outbreak was 25%, but it was more than 80% in the 1998-2000 outbreak in the Democratic Republic of Congo, as well as in the 2005 outbreak in Angola, according to the World Health Organization (WHO).
Ebola virus

The first known Ebola outbreaks in humans struck simultaneously in the Republic of the Sudan and the Democratic Republic of Congo in 1976. Ebola is spread through contact with blood or other body fluids, or tissue from infected people or animals. The known strains vary dramatically in their deadliness, Elke Muhlberger, an Ebola virus expert and associate professor of microbiology at Boston University, told Live Science.
One strain, Ebola Reston, doesn't even make people sick. But for the Bundibugyo strain, the fatality rate is up to 50%, and it is up to 71% for the Sudan strain, according to WHO.
The outbreak underway in West Africa began in early 2014, and is the largest and most complex outbreak of the disease to date, according to WHO.
Rabies

Although rabies vaccines for pets, which were introduced in the 1920s, have helped make the disease exceedingly rare in the developed world, this condition remains a serious problem in India and parts of Africa.
"It destroys the brain, it's a really, really bad disease," Muhlberger said. "We have a vaccine against rabies, and we have antibodies that work against rabies, so if someone gets bitten by a rabid animal we can treat this person," she said.
However, she said, "if you don't get treatment, there's a 100% possibility you will die."
HIV

In the modern world, the deadliest virus of all may be HIV. "It is still the one that is the biggest killer," said Dr. Amesh Adalja, an infectious disease physician and spokesman for the Infectious Disease Society of America.
An estimated 32 million people have died from HIV since the disease was first recognized in the early 1980s. "The infectious disease that takes the biggest toll on mankind right now is HIV," Adalja said.
Powerful antiviral drugs have made it possible for people to live for years with HIV. But the disease continues to devastate many low- and middle-income countries, where 95% of new HIV infections occur. Nearly 1 in every 25 adults within the WHO African region is HIV-positive, accounting for more than two-thirds of the people living with HIV worldwide
Smallpox

In 1980, the World Health Assembly declared the world free of smallpox. But before that, humans battled smallpox for thousands of years, and the disease killed about 1 in 3 of those it infected. It left survivors with deep, permanent scars and, often, blindness.
Mortality rates were far higher in populations outside of Europe, where people had little contact with the virus before visitors brought it to their regions. For example, historians estimate 90% of the native population of the Americas died from smallpox introduced by European explorers. In the 20th century alone, smallpox killed 300 million people.
"It was something that had a huge burden on the planet, not just death but also blindness, and that's what spurred the campaign to eradicate from the Earth," Adalja said.
Hantavirus

Hantavirus pulmonary syndrome (HPS) first gained wide attention in the U.S. in 1993, when a healthy, young Navajo man and his fiancée living in the Four Corners area of the United States died within days of developing shortness of breath. A few months later, health authorities isolated hantavirus from a deer mouse living in the home of one of the infected people. More than 600 people in the U.S. have now contracted HPS, and 36% have died from the disease, according to the Centers for Disease Control and Prevention.
The virus is not transmitted from one person to another, rather, people contract the disease from exposure to the droppings of infected mice.
Previously, a different hantavirus caused an outbreak in the early 1950s, during the Korean War, according to a 2010 paper in the journal Clinical Microbiology Reviews. More than 3,000 troops became infected, and about 12% of them died.
While the virus was new to Western medicine when it was discovered in the U.S., researchers realized later that Navajo medical traditions describe a similar illness, and linked the disease to mice.
Influenza

During a typical flu season, up to 500,000 people worldwide will die from the illness, according to WHO. But occasionally, when a new flu strain emerges, a pandemic results with a faster spread of disease and, often, higher mortality rates.
The most deadly flu pandemic, sometimes called the Spanish flu, began in 1918 and sickened up to 40% of the world's population, killing an estimated 50 million people.
"I think that it is possible that something like the 1918 flu outbreak could occur again," Muhlberger said. "If a new influenza strain found its way in the human population, and could be transmitted easily between humans, and caused severe illness, we would have a big problem."
Dengue

Dengue virus first appeared in the 1950s in the Philippines and Thailand, and has since spread throughout the tropical and subtropical regions of the globe. Up to 40% of the world's population now lives in areas where dengue is endemic, and the disease — with the mosquitoes that carry it — is likely to spread farther as the world warms.
Dengue sickens 50 to 100 million people a year, according to WHO. Although the mortality rate for dengue fever is lower than some other viruses, at 2.5%, the virus can cause an Ebola-like disease called dengue hemorrhagic fever, and that condition has a mortality rate of 20% if left untreated. "We really need to think more about dengue virus because it is a real threat to us," Muhlberger said.
A vaccine for Dengue was approved in 2019 by the U.S. Food and Drug Administration for use in children 9-16 years old living in an areas where dengue is common and with a confirmed history of virus infection, according to the CDC. In some countries, an approved vaccine is available for those 9-45 years old, but again, recipients must have contracted a confirmed case of dengue in the past. Those who have not caught the virus before could be put at risk of developing severe dengue if given the vaccine.
Rotavirus

Two vaccines are now available to protect children from rotavirus, the leading cause of severe diarrheal illness among babies and young children. The virus can spread rapidly, through what researchers call the fecal-oral route (meaning that small particles of feces end up being consumed).
Although children in the developed world rarely die from rotavirus infection, the disease is a killer in the developing world, where rehydration treatments are not widely available.
The WHO estimates that worldwide, 453,000 children younger than age 5 died from rotavirus infection in 2008. But countries that have introduced the vaccine have reported sharp declines in rotavirus hospitalizations and deaths.
SARS-CoV

The virus that causes severe acute respiratory syndrome, or SARS, first appeared in 2002 in the Guangdong province of southern China, according to the WHO. The virus likely emerged in bats, initially, then hopped into nocturnal mammals called civets before finally infecting humans. After triggering an outbreak in China, SARS spread to 26 countries around the world, infecting more than 8000 people and killing more than 770 over the course of two years.
The disease causes fever, chills and body aches, and often progresses to pneumonia, a severe condition in which the lungs become inflamed and fill with pus. SARS has an estimated mortality rate of 9.6%, and as of yet, has no approved treatment or vaccine. However, no new cases of SARS have been reported since the early 2000s, according to the CDC.
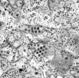
SARS-CoV-2

SARS-CoV-2 belongs to the same large family of viruses as SARS-CoV, known as coronaviruses, and was first identified in December 2019 in the Chinese city of Wuhan. The virus likely originated in bats, like SARS-CoV, and passed through an intermediate animal before infecting people.
Since its appearance, the virus has infected tens of thousands of people in China and thousands of others worldwide. The ongoing outbreak prompted an extensive quarantine of Wuhan and nearby cities, restrictions on travel to and from affected countries and a worldwide effort to develop diagnostics, treatments and vaccines.
The disease caused by SARS-CoV-2, called COVID-19, has an estimated mortality rate of about 2.3%. People who are older or have underlying health conditions seem to be most at risk of having severe disease or complications. Common symptoms include fever, dry cough and shortness of breath, and the disease can progress to pneumonia in severe cases.
0 Comments: